理想的眼睛是可爱or美丽系
眼睛电力UP
双眼皮・眼睛
眼睛的手术方法有很多种。必须根据原本眼睛的形状和眼皮的脂肪情况等以及考虑顾客的预期,来选择最合适的手术方法。仅仅只是做双眼皮吗,想要什么样的眼睛呢,从把您的期望值准确告诉医生开始咨询吧。
-
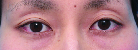
Before
单眼皮的话眼睛很细,给顾客很困的印象,容易给顾客冷漠的印象。而且,睫毛向下生长,眼睛看起来更小了。
-
所有顾客都喜欢的尾宽型
日本顾客认为最自然的,男女老少都喜欢的双眼皮。用埋线法做出这个形状也不容易恢复原状。适合平时化淡妆的顾客。
-
不经意间眼睛变大自然内双
比单眼皮看起来眼睛更大更圆了。适合不怎么想要改变脸部整体印象的顾客。
-
华丽得像混血的宽且平行双眼皮
双眼皮较宽,平行状的话,眼睛会显大,有混血的感觉,适合化眼妆。虽然用埋线法也能做出这个形状,但迷你切开法和全切法更加适合
-
成熟美窄且平行双眼皮
温顺的感觉但是较为华丽。即使不化妆,眼睛看起来也比较大。根据顾客的情况不同有时需要开内眼角。
-
像玩偶一样的水汪汪的大眼睛
能看到黑眼珠90~100%的眼睛。想要像玩偶那样圆滚滚眼睛的顾客可以选择这款。但是,睁眼能力弱的顾客需要做眼睑下垂的手术。
双眼皮手术有3种类型,各自特点介绍如下
施术名·施术时间
快速埋线法
10分
迷你切开法
20分
全切法
30分
双眼皮的永久性 | 微肿的眼睛,睁眼力气弱的顾客,经常揉眼的顾客会发生复原的情况 | 永久性的很难复原 | 永久性的很难复原 |
---|---|---|---|
特 点 | 痛感和肿胀少,在美容整形中是最安全的双眼皮手术。能够轻易地改变眼睛的印象。因为不开刀所以术后的肿胀也少。 | 推荐给用埋线法但线消除了好几次的顾客和用全切法但是消肿时间太长的顾客 | 眼皮非常肿,适合用迷你切开法无法充分消肿的顾客。 |
【专利】
快速埋线双眼皮专用手术线取得生产专利(专利编号:第3628597号)
由高须克弥院长研发,在学会上发表并普及的埋线法。用独家的窍门和获得专利的手术线,比一般的
埋线法更难复原。

凹陷眼修正(玻尿酸注射)、治疗黑眼圈、打造覆盖褶、开内眼角后的整形、下垂眼(熊猫眼)整形、打造卧蚕(玻尿酸注射)、睫毛增发(GlashVista)、倒生长睫毛修正
凹陷眼修正(玻尿酸注射)
眼睛上方的凹陷是因为随着年龄增加、支撑眼周脂肪的肌肉下垂、原有脂肪下垂而造成的。在凹陷的部位一点点地注入玻尿酸、消除额头和眼皮高低不平的现象。
凹陷眼修正(玻尿酸注射)

before

after(4个月后)

将1针玻尿酸左右各注射一半(各0.5cc)
在上眼皮的凹陷处注射玻尿酸、立显双眼皮的病例

before

after(1周后)

将1针(各0.5cc)上眼皮专用的玻尿酸分别注射左右的上眼皮。
治疗黑眼圈
因为眼睛下方的黑眼圈种类不一、有必要针对具体原因采取正确的解决方案、如果选择了最适合你的黑眼圈的治疗法、就能得到明亮美丽的眼睛。
注射玻尿酸后改善

before

after(1周后)
眼睛下方的黑眼圈用去除脂肪来治疗

before

after(1周后)
打造覆盖褶、开内眼角后的整形
打造覆盖褶、开内眼角后的调整是专为生来覆盖褶就少和由于开内眼角而拉近眼间距的顾客量身定制的手术。
切开内眼角到上眼皮的皮肤,将皮肤撑开。由此拉大眼间距,调整整体眼部平衡。
打造覆盖褶、开内眼角后的调整

before

手术结束当下

after(1个月后)
在其他医院开内眼角后,
通过打造覆盖褶来修正

before

手术结束当下

after(6个月后)
下垂眼(熊猫眼)整形
切开下眼皮的里侧和外侧,将多余皮肤切掉少许。下眼皮线稍稍向下调整之后再缝合。
手术时间大约为30分钟。手术痕迹会随着时间推移慢慢变淡。
下垂眼形成+开内眼角+
眼睑下垂手术

before

手术结束当下

after(6个月后)
下垂眼形成+开外眼角手术

before

手术结束当下

after(3个月后)
打造卧蚕(玻尿酸注射)
丰满娇媚的眼睛鼓起是通过在眼睛下方注射玻尿酸而实现的。
玻尿酸可在一年内保持较好疗效,大约2~3年会慢慢地被身体吸收。

丰满可爱的眼睛
用迷你切开法割双眼皮后,
用玻尿酸打造稍大卧蚕的病例

before

手术结束当下

after(1周后)
通过注射玻尿酸打造自然卧蚕

before

手术结束当下

after(1周后)
睫毛增发(GlashVista)
虽然也有其他的睫毛增发剂,但是这款的效果和安全性得到了日本劳动和社会保障部的认可,
属于国内最初·唯一的少睫毛治疗用的医药品。3年会慢慢地被身体吸收。

使用前

使用后
睫毛烦恼确认表
- 感到睫毛不够
- 感到睫毛变细
- 感到睫毛变短
- 感到睫毛变薄
有其中任一情况请联系!
倒生长睫毛修正
令人困扰的倒睫毛问题, 倒睫毛修正手术术后不留痕迹,呈现自然改善效果。